
Patellaluxation beim Hund
Dr. med. vet. Lena von Spiessen
15.06.2025
Warum hinter einem ungewöhnlichen Gangbild oft mehr steckt als ein harmloses, rassetypisches Verhalten
Viele HundehalterInnen bemerken es zuerst im Spiel oder beim Spazierengehen: in schnelleren Gangarten hüpft der Vierbeiner, als hätte er ein Hinterbein „vergessen“. Was Manche als charmante rassentypische Eigenart abtun, kann ein ernstzunehmendes orthopädisches Problem sein – die sogenannte Patellaluxation.
Was bedeutet Patellaluxation?
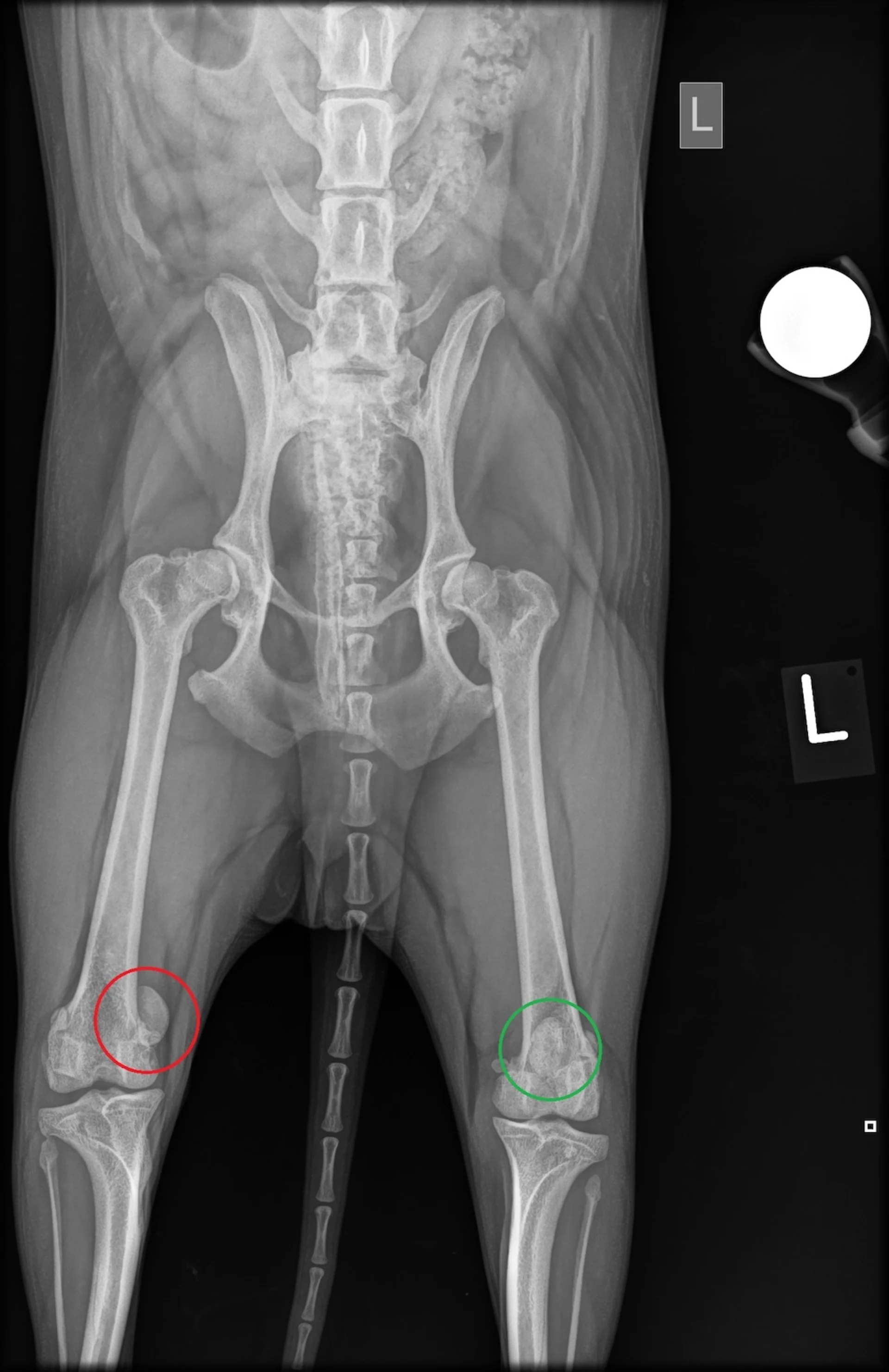
Die Kniescheibe, im Fachjargon «Patella» genannt, gleitet in einer natürlichen Führungsrinne des kniegelenknahen Anteils des Oberschenkelknochens. Springt sie während des Bewegungsablaufes aus dieser Führung heraus, wird das als Luxation bezeichnet. Dieses «Ausrenken» der Kniescheibe stört den weiteren Bewegungsablauf kurzzeitig, sichtbar durch ein plötzliches Entlasten oder das Anheben des Beins. Je nach Schweregrad (1 bis 4) kann der Patient mehr oder weniger stark betroffen sein. Eine frühzeitige Diagnose ist entscheidend, um allfällige Folgeschäden zu verhindern.

Röntgenbild
Kleine Hunderassen häufiger betroffen
In den meisten Fällen zeigt sich eine Patellaluxation bereits im Junghundealter. Vor allem kleine Rassen wie Chihuahua, Zwergpudel, Yorkshire Terrier oder Französische Bulldoggen sind von der vererbten Erkrankung des Bewegungsapparates betroffen. Da jedoch auch Mischlinge und andere Hunderassen erkranken können ist vor allem die Aufmerksamkeit der Besitzer gefragt.
Schmerzen erkennen und behandeln – Sekundärschäden verhindern
Eine unbehandelte Patellaluxation kann nicht nur Bewegungseinschränkungen verursachen, sondern auch Schmerzen, Muskelabbau und Gelenkverschleiss zur Folge haben. Durch den mechanischen Abrieb von Gelenkknorpel entwickelt sich eine Arthrose des Knieschiebengelenkes; die Instabilität begünstigt in chronischen Fällen oftmals eine weitere Erkrankung des Kniegelenks – den Kreuzbandriss.
Die Zucht im Blick – Verantwortung übernehmen
Gerade für ZüchterInnen ist die Vorsorgeuntersuchung auf Patellaluxation ein zentrales Werkzeug der Zuchthygiene. Die Untersuchung für potenzielle Elterntiere wird in der Schweiz für viele Rassen empfohlen oder sogar vom jeweiligen Zuchtverband vorgeschrieben und ist je nach Hunderasse und Wachstum zwischen dem 15. und 24. Lebensmonat sinnvoll – also genau im richtigen Alter für eine fundierte zuchthygienische Entscheidung. Ziel: gesunde Tiere erkennen, zu selektionieren und so das Auftreten der Erkrankung langfristig zu minimieren.
So läuft eine Patella-Untersuchung ab:

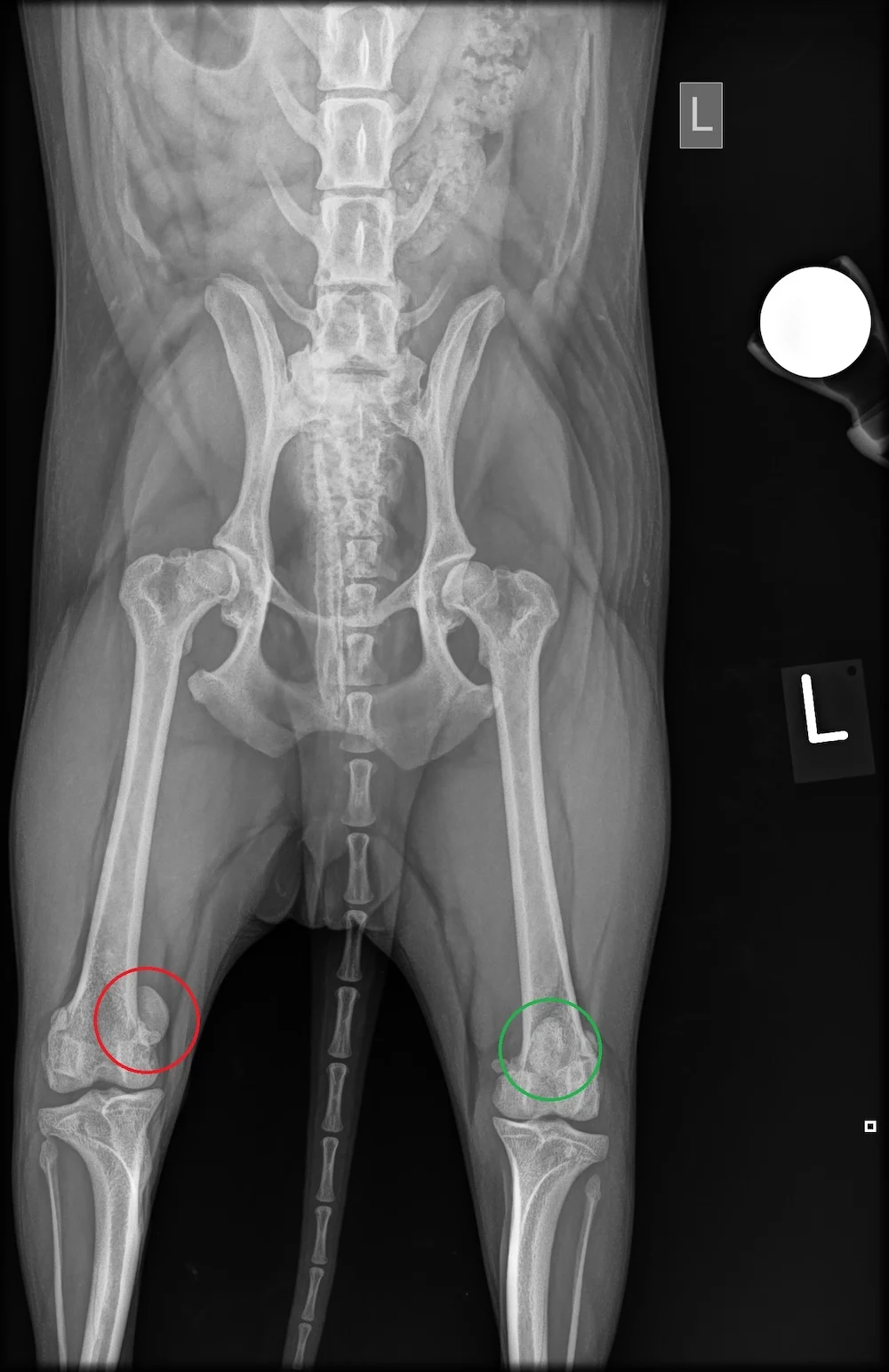
Untersuchung Patellaluxation
Durch Ablesen des Mikrochips wird die Identität des Tieres mit den Daten auf dem Stammbaum abgeglichen. Anschliessend folgt eine kurze klinische Untersuchung durch unsere SVK-zertifizierten TierärztInnen. Durch Beurteilung des Gangbildes und eine orthopädische Untersuchung der Hintergliedmassen im Stehen und in Seitenlage wird geprüft:
- Liegt eine Lahmheit der Hintergliedmassen vor? Gibt es Hinweise auf einen Rückgang der Oberschenkelmuskulatur?
- Wie stabil liegt die Kniescheibe in der Furche?
- Lässt sie sich mit sanftem Druck verschieben?
- Springt sie von selbst zurück?
- Liegen andere Erkrankungen des Kniegelenks vor?
Bei der Beurteilung des Schweregrades der Erkrankung werden 4 Stufen unterschieden:
Grad 1: Kniescheibe manuell durch den Untersucher luxierbar, sonst unauffällig
Grad 2: Kniescheibe spontan luxierend, springt aber von alleine in die Führungsrinne zurück
Grad 3: Kniescheibe dauerhaft luxiert, kann aber manuell durch den Untersucher reponiert werden
Grad 4: Kniescheibe dauerhaft luxiert, nicht reponierbar
Ob ein Hund zuchttauglich ist, hängt vom Befund und den Vorgaben des jeweiligen Rasseverbands ab. In der Regel gilt: Grad 0 ist zuchttauglich, Grad 1 unter Umständen mit Auflagen.
Nur von der GST zertifizierte TierärztInnen dürfen beurteilen
In der Schweiz sollen Patella-Untersuchungen zur Ermittlung der Zuchttauglichkeit nur von zertifizierten TierärztInnen mit einem Fachkundenachweis der GST (Gesellschaft Schweizer Tierärztinnen und Tierärzte) durchgeführt werden. Diese müssen ihre Zertifizierung alle 4 Jahre erneuern.
Ihre VetTrust Tierklinik Basel: fundierte Patella Untersuchungen
In der Tierklinik Basel bieten wir Ihnen die Möglichkeit zur fundierten Patella-Untersuchung –durch TierärztInnen mit offiziellem Fachkundenachweis der GST.